Colorectal Cancer Surgeon in Chandigarh

Dr. Rajeev Kapoor · General Surgery · Fortis Mohali

Gallbladder Surgery
in Chandigarh

From a silent stone found on a routine scan to complex biliary emergencies — a complete guide to gallbladder disease and its treatment.

35+
Years Experience
18,000+
Surgeries
60+
Research Publications
300+
Conference Presentations

1 in 10 Indians carries gallstones — and Punjab & the Gangetic belt have among the highest rates in Asia. Many people don't know until a scan reveals it.

Where Is the Gallbladder & What Does It Do?

The gallbladder is a small, pear-shaped pouch tucked snugly beneath the right lobe of the liver — roughly the size of a fig. It sits just below the ribs on your right side, connected to the liver and the small intestine by a network of bile ducts.

Its job is deceptively simple: store bile. The liver manufactures bile continuously — a greenish-yellow digestive fluid that breaks down dietary fat. The gallbladder concentrates it up to tenfold and holds it in reserve, then squirts a controlled burst into the small intestine the moment you eat a fatty meal.

Between meals the gallbladder quietly fills. After meals it contracts, empties, and fills again — a cycle that repeats thousands of times over a lifetime. Most of the time this works silently and perfectly.

The gallbladder is not essential. After removal, the liver still produces bile — it simply flows directly into the small intestine at a steady trickle. The vast majority of people live completely normally without a gallbladder.

Diagram showing the location of the gallbladder beneath the liver in relation to abdominal organs

What Are Gallstones?

When bile chemistry tips out of balance — too much cholesterol, too little bile salts, or sluggish emptying — its dissolved components crystallise into hard deposits inside the gallbladder. These are gallstones.

1 in 10
adults in India carries gallstones — many without ever knowing. Punjab and the Gangetic belt have among the highest rates in Asia.

Stones range from sand-sized grains to lumps the size of a golf ball. They can sit quietly for decades — or suddenly slip into the bile duct and trigger one of the most severe pain episodes a person will ever experience, without any warning.

Not every gallstone needs surgery. The decision depends on your symptoms, stone size, and overall health. Your surgeon will review each case individually — because the right treatment is rarely one-size-fits-all.

Gallstones of varying sizes and colours removed during cholecystectomy
🔪

What Is a Cholecystectomy?

koh-lee-sis-TEK-toh-mee

The surgical removal of the gallbladder. It is one of the most commonly performed operations in India. You will see this word throughout this page — whenever it appears, it simply means Gallbladder Removal Surgery.

🔭
Laparoscopic — 3–4 keyhole cuts (5–10 mm each). Most common approach. Day case or 1-night stay. Recovery in 3–4 weeks.
🤖
Robotic (Da Vinci) — Enhanced precision for complex anatomy. Available at Fortis Hospital Mohali.
🏥
Open — Traditional incision. Reserved for emergencies, previous abdominal surgery, or when laparoscopic is not safe.
🟢 Found by Chance — Silent Disease

Gallstones That Cause No Symptoms

Many gallstones are discovered completely by accident — during an ultrasound done for an unrelated reason. The patient has no symptoms at all. These are called asymptomatic or silent gallstones.

🪨

Silent (Asymptomatic) Gallstones

Found on a scan for another reason — a liver check, a health screening, or an abdominal ultrasound. No pain, no nausea, no symptoms at all.

Not every silent stone needs immediate surgery. Stone size, patient age, and risk factors guide the decision. When surgery is indicated, laparoscopic or robotic cholecystectomy is offered.
💧

Biliary Sludge

Thick, sluggish material in the gallbladder — a mixture of micro-crystals, mucus, and calcium salts. A precursor to true stone formation. May cause no symptoms, or produce mild dyspepsia.

Often resolves with dietary changes; persistent sludge may require laparoscopic or robotic cholecystectomy.
🔵

Gallbladder Polyps

Growths on the inner gallbladder wall, detected on ultrasound. Most are benign cholesterol polyps and can be watched with serial scans.

Polyps over 1 cm, growing polyps on serial scans, or polyps in older patients with risk factors are managed with laparoscopic or robotic cholecystectomy to exclude malignancy.

When is surveillance appropriate? Small asymptomatic stones (<1 cm) in a young, fit patient with a normal gallbladder may be watched. If symptoms develop, if the stones grow, or if the patient has diabetes or is about to travel to a remote area, surgery is recommended. Your surgeon will advise based on your individual picture.

🟡 Causing Symptoms — Day-to-Day Disease

When Gallstones Make Themselves Known

Symptoms begin when stones move — blocking the gallbladder outlet temporarily or irritating its wall. This can range from vague indigestion to excruciating colic.

Imaging showing an enlarged gallbladder with gallstones — cholecystitis

Biliary Colic

Sudden, severe pain in the upper right abdomen — often radiating to the right shoulder or back. Triggered by fatty meals. Lasts 30 minutes to several hours, then completely settles. Recurs unpredictably. This is the hallmark symptom of gallstones.

😮‍💨

Dyspepsia, Heaviness & Flatulence

Bloating, belching, early fullness, and vague upper abdominal discomfort after meals — particularly after fried or spicy food. Sometimes the only sign of an underperforming gallbladder. Often mistaken for acid reflux or IBS for years before stones are found.

📅

Chronic Cholecystitis

Long-standing, low-grade inflammation from repeated stone episodes. The gallbladder wall becomes progressively thickened and scarred. Patients often describe years of vague right-sided discomfort with occasional severe attacks.

Laparoscopic or robotic cholecystectomy is the definitive cure.
🫧

Mucocoele of the Gallbladder

When a stone blocks the gallbladder outlet without causing infection, mucus accumulates and distends the organ — producing a visibly enlarged gallbladder on ultrasound. The patient may feel a lump under the right ribs.

Laparoscopic or robotic cholecystectomy is advised to prevent infection and perforation.
🔴 Needs Urgent Attention — Go to ER

Gallbladder Emergencies

These conditions require same-day or emergency hospital admission. Do not wait — delay can be life-threatening.

Go to Emergency If You Have:

  • Severe upper abdominal pain lasting more than a few hours — not settling with painkillers
  • Fever with abdominal pain and chills (possible empyema or cholangitis)
  • Yellowing of the skin or eyes (jaundice) with fever — possible cholangitis
  • Sudden severe abdominal pain spreading across the whole abdomen (possible perforation)
  • Vomiting you cannot control, preventing fluids
🔥

Acute Cholecystitis

A stone blocks the cystic duct and the trapped gallbladder becomes acutely inflamed. Presents with severe, constant right upper abdominal pain, fever, and tenderness.

Hospital admission and IV antibiotics. Surgery is usually performed within 72 hours or as a planned interval procedure.
🧫

Empyema of the Gallbladder

Pus fills the gallbladder — the most severe local complication of acute cholecystitis. The patient is toxic, with high swinging fever and severe pain.

Urgent drainage — percutaneous under ultrasound guidance or surgical — followed by definitive cholecystectomy.
🩹

Pericholecystic Abscess

A pocket of pus forms in the tissues surrounding the gallbladder — often walling off a small contained perforation.

Ultrasound-guided drainage first to control infection, then interval cholecystectomy once inflammation has subsided.
🚨

Perforated Gallbladder

The end-stage complication of untreated acute cholecystitis — the gallbladder wall, under pressure from trapped infected bile, eventually gives way.

Perforation occurs in three forms: free perforation (bile spills openly into the peritoneal cavity, causing generalised peritonitis — the most dangerous); localised perforation (walled off by surrounding tissues into a pericholecystic abscess); and chronic perforation (a slow fistula into adjacent bowel). Risk is highest in elderly, diabetic, and immunocompromised patients who may present late and with blunted symptoms. The patient typically deteriorates rapidly — with diffuse abdominal rigidity, high fever, tachycardia, and shock.

Surgical emergency — immediate laparotomy or laparoscopy, peritoneal washout, and cholecystectomy. ICU support often required. Mortality rises sharply with each hour of delay.
🔥

Acute Gallstone Pancreatitis

When a small stone (or even sludge) slips out of the gallbladder and temporarily blocks the pancreatic outflow at the ampulla of Vater, digestive enzymes back up into the pancreas itself — triggering acute inflammation.

Gallstones are the single most common cause of acute pancreatitis in India. Presents with severe central or upper abdominal pain radiating straight to the back, nausea, vomiting, and a markedly raised serum amylase or lipase.

Hospital admission, IV fluids, bowel rest, and analgesia. ERCP if ongoing biliary obstruction or cholangitis. Laparoscopic or robotic cholecystectomy in the same admission once inflammation settles — without it, 30–50% of patients suffer a repeat episode within weeks.
🌀

Gallstone Ileus Rare

A large gallstone (usually >2.5 cm) slowly erodes through the gallbladder wall into the adjacent bowel, travels through the intestine and impacts at its narrowest point — the terminal ileum — causing mechanical small bowel obstruction.

Accounts for fewer than 1–4% of all small bowel obstructions; more common in elderly women over 65. On X-ray the classic Rigler's triad — air in the bile ducts (pneumobilia), bowel obstruction pattern, and an ectopic calcified gallstone — clinches the diagnosis.

Urgent surgery (enterolithotomy) to extract the impacted stone and relieve the obstruction. Cholecystectomy and fistula closure are performed simultaneously or as a staged procedure depending on patient fitness.
🟣 Complex Biliary Disease

Advanced & Complex Gallbladder Conditions

These conditions require pre-operative planning, specialised surgical expertise, and sometimes a staged approach — they are not routine cholecystectomies.

🔒

Impacted Stones & Mirizzi's Syndrome

A stone deeply impacted at the gallbladder neck can externally compress the common bile duct — causing jaundice without a stone in the duct itself. Called Mirizzi's syndrome; classified into types by severity.

Careful pre-operative MRCP planning and expert surgical dissection are essential.
🌀

Gallstone Ileus

A large gallstone erodes through the gallbladder wall into the duodenum or colon (creating a fistula), then migrates into the small bowel causing intestinal obstruction. Rare but dramatic.

Surgery to relieve the obstruction — often followed by a staged approach to close the fistula.
🔗

Cholecystoduodenal & Cholecystocolonic Fistula

Long-standing stone disease can erode an abnormal opening between the gallbladder and the duodenum or colon. Often discovered unexpectedly at operation.

Simultaneous fistula repair and cholecystectomy — demanding careful surgical planning.
🔄

Abandoned Procedures & Second Opinions

Some patients arrive after a previous operation that was stopped mid-procedure due to difficult anatomy, bleeding, or bile duct concern. Others seek a second opinion after being advised complex surgery elsewhere.

Your surgeon evaluates each case individually — sometimes re-do surgery, sometimes conservative management.
❤️

Gallstone Disease with Medical Comorbidities

Gallstones frequently coexist with diabetes, heart disease, thyroid disorders, and other systemic illness. Diabetic patients are at higher risk of severe cholecystitis. Patients on blood thinners need careful perioperative planning.

Management is tailored to each patient's complete medical picture.

Special Situations

When gallstones travel beyond the gallbladder into the bile ducts or pancreas, management becomes more complex — each situation follows a specific treatment pathway.

🟡

Gallstones + Jaundice
CBD Stone / Choledocholithiasis

A stone that slips out of the gallbladder into the common bile duct (CBD) blocks the flow of bile — causing progressive yellowing of the skin and eyes, dark urine, pale stools, and itching.

1MRCP confirms the stone in the CBD and maps the bile duct anatomy.
2ERCP — the bile duct is entered endoscopically; the opening is widened and the stone removed with a balloon or basket. A stent is placed if the duct cannot be fully cleared.
3Laparoscopic or robotic cholecystectomy is then performed — usually in the same admission — to remove the gallbladder (the source of future stones).
🔵

Gallstones + Pancreatitis
Gallstone Pancreatitis

A stone temporarily blocks the ampulla — the shared opening of the bile duct and pancreatic duct — triggering acute inflammation of the pancreas. Presents with severe upper abdominal pain radiating to the back, vomiting, and raised amylase/lipase on blood tests.

1Conservative management first — IV fluids, pain control, and nil-by-mouth until pancreatitis settles. The stone usually passes spontaneously.
2ERCP is performed if the stone remains stuck (severe pancreatitis or cholangitis on top).
3Early laparoscopic or robotic cholecystectomy — ideally before discharge from the same admission — to prevent a second, potentially more severe episode of pancreatitis.
🔴

Cholangitis
Bile Duct Infection — A Biliary Emergency

When bile duct stones cause obstruction AND bacteria get into the blocked system, cholangitis develops rapidly. Charcot's Triad: jaundice + fever + right upper abdominal pain. In severe cases it progresses to septic shock (Reynolds' Pentad: confusion + low blood pressure added).

1Emergency admission — IV antibiotics and resuscitation begun immediately.
2Urgent ERCP within 24–48 hours — bile duct decompression is life-saving. Stones removed; stent placed if needed.
3Interval cholecystectomy once the patient has fully recovered from the infection.
🟣

Complex & Re-Do Cases
Previous Surgery / Mirizzi's / Fistulae

Some gallbladder conditions do not fit neatly into a standard pathway. These include Mirizzi's syndrome (stone compressing the bile duct), cholecystoenteric fistulae, and patients with a previous abandoned or incomplete operation.

1Thorough pre-operative workup — MRCP, CT abdomen, review of previous operative notes and imaging.
2Staged approach if needed — control infection first (antibiotics ± percutaneous drain), then plan definitive surgery when anatomy is clarified.
3Expert surgical dissection — with a low threshold for conversion to open if safe anatomy cannot be established laparoscopically.

Investigations & Diagnosis

The right investigation leads to the right treatment. Most gallbladder disease is diagnosed on a simple ultrasound. Bile duct problems and complications require more.

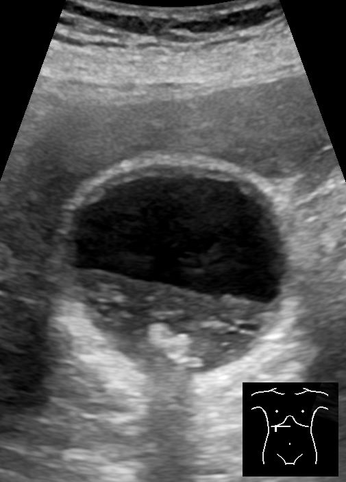
Ultrasound scan showing gallbladder sludge and multiple gallstones
Routine — First Line

Ultrasound Abdomen

The primary investigation for all gallbladder disease. Safe, quick, no radiation. Detects stones (even tiny ones), sludge, polyps, gallbladder wall thickening, pericholecystic fluid, and a dilated bile duct. Most patients need nothing further.

MRCP scan showing stones in the common bile duct — choledocholithiasis
Advanced — Non-Invasive

MRCP

Magnetic Resonance Cholangiopancreatography — a non-invasive MRI scan producing detailed road-maps of the bile ducts and pancreatic duct. Used when CBD stones, Mirizzi's syndrome, or complex bile duct anatomy is suspected. No radiation, no endoscope.

ERCP fluoroscopy showing stone extraction from the common bile duct
Therapeutic — Treat at Same Sitting

ERCP

Endoscopic Retrograde Cholangiopancreatography. Primarily a treatment procedure for CBD stones, jaundice, and cholangitis. An endoscope enters the bile duct opening; stones are removed and stents placed. Also provides precise duct imaging at the same sitting.

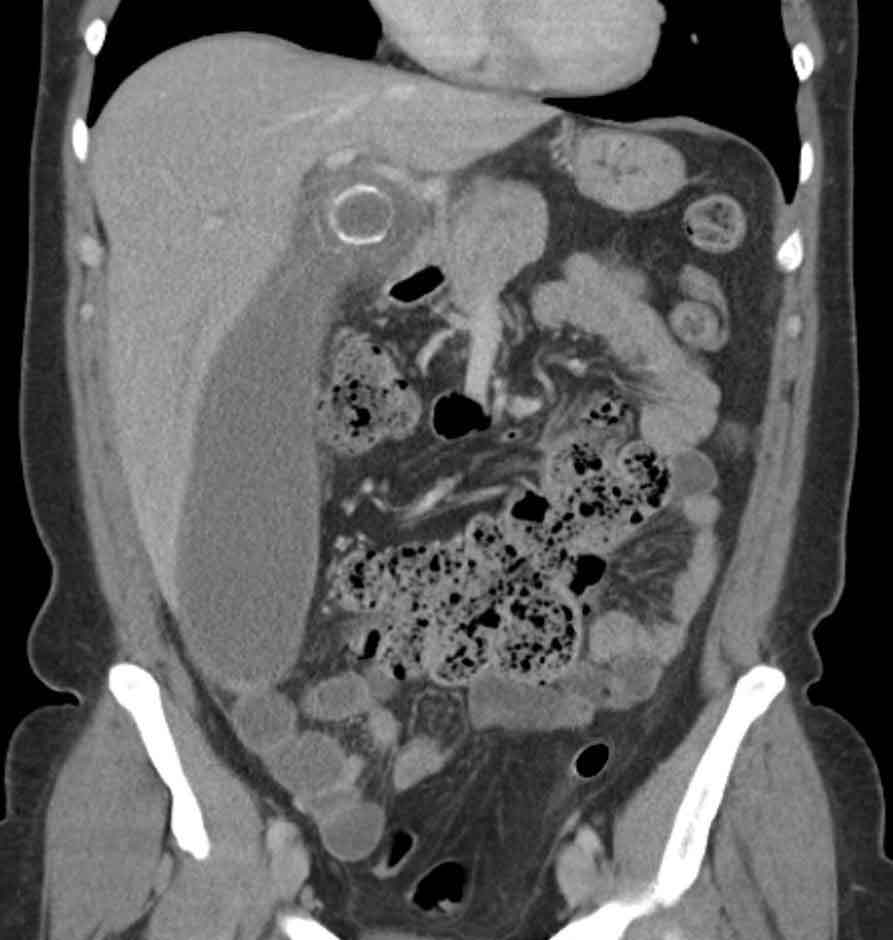
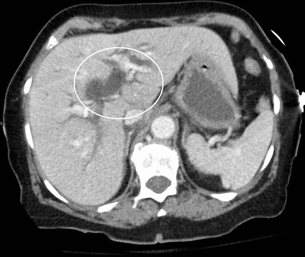
Imaging showing dilated common bile duct due to obstructing gallstone
Complications & Planning

CT Abdomen

Used when complications are suspected — perforation, abscess, pancreatitis, or when surgery needs detailed anatomy. Not the first-line test for simple gallstones, but invaluable for emergency and complex cases. Blood tests (LFT, amylase, CBC) are essential companions to all imaging.

Management Pathways

Not every gallbladder condition goes straight to the operating theatre. The right treatment depends on the clinical situation, the patient's fitness, and the urgency.

Condition First Step Definitive Treatment Urgency
Silent gallstones Observation / dietary advice Elective laparoscopic or robotic cholecystectomy when indicated Elective
Biliary colic / symptomatic stones Pain management, low-fat diet Elective laparoscopic or robotic cholecystectomy Semi-urgent
Acute cholecystitis IV antibiotics, IV fluids, analgesia, NBM Laparoscopic cholecystectomy (within 72 hrs or interval) Urgent
Empyema / pericholecystic abscess IV antibiotics ± percutaneous drain (US-guided) Interval cholecystectomy once infection controlled Emergency
Perforated gallbladder Emergency resuscitation, IV antibiotics Emergency laparotomy / cholecystectomy with washout Emergency
CBD stones / obstructive jaundice ERCP — stone removal & stenting Laparoscopic or robotic cholecystectomy (same admission) Urgent–Elective
Cholangitis Emergency antibiotics + ERCP within 24–48 hrs Interval cholecystectomy after recovery Emergency
Gallstone pancreatitis Conservative (fluids, analgesia, NBM) ± ERCP Early laparoscopic or robotic cholecystectomy before discharge Urgent
High-risk patient with empyema Percutaneous cholecystostomy under US guidance Interval cholecystectomy when fit for surgery Emergency–Bridge
Mirizzi's syndrome MRCP workup, staging, sometimes ERCP stenting Planned open or laparoscopic cholecystectomy with bile duct repair Planned
💉
Bridge Procedure for High-Risk Patients

Percutaneous Cholecystostomy

For patients too unwell to tolerate surgery — those with severe heart or lung disease, the very elderly, or those in septic shock from empyema — a percutaneous cholecystostomy offers a safe, immediate solution.

Under ultrasound guidance, a thin drain tube is placed through the skin directly into the gallbladder. No general anaesthetic, no incision. Infected contents drain immediately — fever settles, pain resolves, and the patient stabilises. The tube remains in place for several weeks. Once the patient has sufficiently recovered, definitive cholecystectomy is planned.

In a small number of patients who remain permanently unfit for surgery, the cholecystostomy tube alone can provide long-term control — draining any recurring infection without an operation.

🔭

Surgical Treatment

Surgical Methods — Dr. Rajeev Kapoor

Three surgical approaches are used depending on clinical situation, anatomy, complexity, and patient preference. For most patients with uncomplicated disease, a minimally invasive approach — laparoscopic or robotic — offers the fastest recovery and best outcomes.

🔭
Standard of Care — Most Patients

Laparoscopic Cholecystectomy

Performed through 3–4 small keyhole incisions (5–10 mm each) under general anaesthesia. A high-definition camera is introduced into the abdomen; fine instruments clip and divide the cystic duct and artery, then free the gallbladder from the liver bed. The gallbladder is extracted through one port.

Patients are typically discharged the same day or next morning. The tiny incisions cause minimal post-operative pain compared to open surgery, and recovery is dramatically faster.

  • Day case or 1-night stay
  • 3–4 incisions of 5–10 mm each
  • Eating and drinking within hours
  • Desk work in 1–2 weeks
  • Full activity in 3–4 weeks
  • Minimal visible scarring
Intraoperative laparoscopic view during cholecystectomy showing gallbladder dissection
Four small laparoscopic port incisions four days after gallbladder surgery
🤖
Patient Choice & Select Complex Cases

Robotic Cholecystectomy — Da Vinci System

Robotic surgical system set up in the operating theatre for cholecystectomy

The Da Vinci robotic system is available at Fortis Hospital Mohali. The surgeon operates from a console, controlling wristed instruments with a magnified, high-definition 3D view of the operative field. Instruments have a far greater range of motion than conventional laparoscopy.

Robotic cholecystectomy is particularly considered in:

  • Patients who specifically request it
  • Mirizzi's syndrome (complex biliary anatomy)
  • Dense adhesions from prior upper abdominal surgery
  • Re-do or completion cholecystectomy
  • Cases where tremor-free precision matters most

Insurance & Cost: Robotic cholecystectomy is covered fully or partially by a limited number of insurance companies. Many patients choose to pay privately. Coverage and costs are discussed clearly before your procedure. Your surgeon will advise whether robotic surgery offers a genuine clinical advantage for your specific case.

🏥
When Clinically Indicated

Open Cholecystectomy

A traditional open incision below the right ribcage — occasionally required when laparoscopic surgery is not safe. Situations include uncontrolled bleeding, anatomy that cannot be safely defined on camera, or extensive previous surgery preventing safe laparoscopic access.

Converting from laparoscopic to open when the situation demands it is sound surgical judgement — not a complication. Open cholecystectomy is also the primary approach in certain perforated gallbladder emergencies where speed and direct access are essential. Recovery is 5–7 days in hospital and 4–6 weeks at home.

Which Surgical Pathway Is Right for You?

Every patient's situation is different. This quick guide maps common clinical scenarios to the recommended surgical approach — your surgeon will confirm the right path for your case.

Uncomplicated gallstones — elective surgery
Laparoscopic or Robotic Cholecystectomy

Day-care or 1-night admission. Keyhole surgery under general anaesthesia. Full recovery in 2–3 weeks.

Gallstones + Jaundice or CBD stones
ERCP first → then Lap/Robotic Cholecystectomy

Stones cleared from bile duct endoscopically. Gallbladder removed in same or next admission.

Acute Cholecystitis or Pancreatitis
Urgent Cholecystectomy within 72 hrs or Early Same-admission Surgery

IV antibiotics, hospital admission, and surgery before discharge to prevent recurrence.

Emergency — Perforation / Peritonitis / Empyema
Immediate Surgery + Peritoneal Washout

No delay. Laparotomy or laparoscopy with washout. ICU support may be required.

Complex — Mirizzi's / Fistula / Re-do Surgery
Specialist Robotic or Open Cholecystectomy

Pre-operative MRCP planning. Expert dissection. Staged or combined procedure as required.

Not sure which applies to you? Bring your ultrasound report and blood test results to your consultation. Your surgeon will map the right pathway within minutes of reviewing your case.

Your Journey from Symptom to Recovery

Understanding each step helps reduce anxiety and lets you prepare. Most patients move from first consultation to discharge within 2–3 days.

1
🩺
First Symptoms
Pain, nausea, jaundice or incidental scan finding
2
🏥
GP or ER Visit
Initial assessment, blood tests, ultrasound
3
👨‍⚕️
Specialist Consultation
Review of scans, diagnosis, surgical discussion
4
🔬
Investigations
MRCP if CBD stones suspected; ERCP if jaundiced
8
🏠
Home & Follow-up
Light activity in 1 week; full return in 2–3 weeks
7
🛌
Recovery
1–2 nights in hospital; oral fluids same day
6
🏥
Surgery Day
Lap or robotic cholecystectomy under GA — 45–90 min
5
📋
Pre-op Assessment
PAC, ECG, blood tests, anaesthesia review, consent

Preparing for Cholecystectomy

Getting to surgery safely involves a systematic pre-operative process. Here is what to expect from diagnosis to the day of the operation.

1

Confirming the Diagnosis

An ultrasound abdomen is the starting point for most patients. If bile duct involvement is suspected, MRCP is arranged. Blood tests — liver function, full blood count, kidney function, blood sugar, and clotting — are ordered. All imaging and reports are reviewed together before any decision is made.

2

Pre-Anaesthesia Check (PAC)

A formal assessment by the anaesthesia team. This includes a review of your full medical history, current medications, allergies, previous anaesthesia reactions, and fitness for surgery. An ECG and chest X-ray are ordered for patients over 40 or those with heart or lung conditions. Any issues are optimised before the operation date is fixed.

3

Medication Review

Blood thinners (warfarin, aspirin, clopidogrel) are typically paused before surgery — usually 5–7 days beforehand, in liaison with your cardiologist or physician. Diabetic medications may need adjustment around the fasting period. Never stop any medication without your surgeon's specific guidance.

4

Consent & Discussion

The operation, its alternatives, specific risks (bile duct injury, bleeding, conversion to open, anaesthetic risks), and expected recovery are explained clearly. You have full opportunity to ask questions. Consent is documented formally — nothing is rushed.

5

Fasting & Admission

You will be asked to fast for 6 hours (solid food) and 2 hours (clear liquids) before your operation time. Most laparoscopic cholecystectomies are planned as day-surgery or one-night-stay procedures. Bring a list of your medications and any recent blood reports on the day.

6

What to Expect on the Day

You are received in the ward, seen by the surgical and anaesthesia team, and shifted to the operating theatre when ready. The operation typically lasts 30–60 minutes. You wake up in the recovery room, then move to the ward. Most patients are walking within a few hours and eating a light meal by evening.

After Surgery — Questions & Answers

The questions patients ask most in the days and weeks after gallbladder surgery.

What can I eat after gallbladder surgery?
Start with clear liquids and light, low-fat meals for the first week. Avoid fried food, full-fat dairy, and rich gravies for 4–6 weeks while the body adjusts. After that, most patients can return to a normal diet. Some people find fatty meals still cause loose stools — this usually settles within 2–3 months as the body adapts.
Will I have loose motions after gallbladder removal?
A small number of patients notice looser, more frequent stools after cholecystectomy — caused by bile now flowing continuously into the intestine rather than in meal-time bursts. This usually improves within weeks to a few months. A low-fat diet and, occasionally, bile salt binding medication helps. It does not affect the vast majority of patients significantly.
When can I drive after laparoscopic gallbladder surgery?
Most patients can drive again after 1–2 weeks — once they are off strong pain medication and can react quickly in an emergency stop. After open cholecystectomy, driving is usually delayed to 4–6 weeks. Always check with your surgeon before getting behind the wheel.
When can I return to work?
Desk / office work: typically 1–2 weeks after laparoscopic surgery. Light manual work: 3–4 weeks. Heavy lifting or strenuous physical labour: 4–6 weeks. After open cholecystectomy, recovery is 4–6 weeks regardless of job type. Your surgeon will guide you specifically based on how you recover.
What are the warning signs after surgery I should not ignore?
Contact your surgeon or go to hospital if you notice: fever above 38.5°C, worsening (not improving) abdominal pain, yellowing of the skin or eyes, dark urine, increasing redness or discharge from a port wound, or vomiting that prevents you drinking fluids. These may signal a complication requiring prompt attention.
Is the gallbladder permanently removed? Will I miss it?
Yes — once removed it does not grow back. The liver continues making bile; it simply flows continuously into the small intestine rather than being stored and squirted with meals. The vast majority of patients feel no difference in daily life after 6–8 weeks. The gallbladder is not an essential organ.
Do all gallstones need surgery?
Not necessarily. Truly silent stones in healthy individuals may be monitored. Surgery is advised when stones cause symptoms, when the gallbladder is diseased, when there is a high risk of future complications (pancreatitis, jaundice), or when the patient has diabetes or is about to travel to a remote area without access to emergency care.
What is the difference between laparoscopic and robotic cholecystectomy?
Both are minimally invasive with similar recovery times. Laparoscopic surgery uses a 2D camera and long straight instruments — excellent for routine cases. Robotic surgery adds 3D magnification and wristed instruments with a greater range of motion — particularly valuable in complex cases (Mirizzi's syndrome, dense adhesions, re-do surgery). For straightforward cholecystectomy, both give equally excellent results. Your surgeon will advise which is appropriate for you.
When is my follow-up after surgery?
A follow-up appointment is typically arranged 1–2 weeks after discharge — to check wound healing, review the histology report of the removed gallbladder, and address any recovery questions. If you have had a bile duct procedure or stent placed, the timeline for stent removal or further review will be explained specifically at the time of the procedure.

Who Is at Risk?

Gallstones do not strike randomly. Certain factors — many of them highly prevalent in the Indian population — significantly raise the likelihood of stone formation.

👩

Female Sex

Women are three times more likely to develop gallstones than men. Indian data confirms: 5.59% prevalence in women vs. 1.99% in men. Oestrogen increases cholesterol secretion into bile; progesterone slows gallbladder emptying.

3× higher risk in women
🤰

Pregnancy & Multiparity

Each pregnancy elevates oestrogen and progesterone, both of which promote stone formation. The gallbladder empties less efficiently during pregnancy, allowing bile to stagnate and crystallise. Risk rises with each successive pregnancy.

💊

Hormonal Contraceptives & HRT

Oral contraceptive pills and hormone replacement therapy both raise oestrogen levels, increasing cholesterol concentration in bile and reducing gallbladder motility.

🍛

North Indian Diet

High intake of ghee, refined carbohydrates, saturated fat, and low dietary fibre — common in North Indian diets — promotes cholesterol supersaturation of bile. North Indians have 2–4× higher gallstone prevalence than South Indians.

2–4× higher in North India
🩺

Diabetes

Diabetes significantly impairs gallbladder motility, causing bile stasis and stone formation. Indian studies show diabetic patients have a 4.27× increased risk — particularly relevant given India's 101 million diabetics.

4.27× increased risk
👨‍👩‍👧

Family History

A striking 69% of Indian gallstone patients report a positive family history. Genetic factors influence bile composition, gallbladder motility, and cholesterol metabolism — all of which contribute to stone formation.

69% have a family history
⚖️

Obesity & Rapid Weight Loss

Obesity increases cholesterol secretion into bile. Paradoxically, crash dieting or rapid weight loss (common in urban India) is equally dangerous — the gallbladder sits idle during fasting, allowing bile to concentrate and stones to form.

🎂

Age

Risk rises progressively after 40. In India, most symptomatic gallstone patients present between 40 and 60 years of age. Bile composition changes with age, and gallbladder contractility gradually declines.

Can Gallstones Be Prevented?

Not all gallstones are preventable — genetics and hormones play a role beyond our control. But lifestyle choices significantly influence your risk, and small consistent changes make a real difference.

🕐

Eat at Regular Times

Skipping meals allows bile to sit concentrated in the gallbladder for hours. Three regular meals — including breakfast — keep bile moving and reduce stasis.

🥗

Increase Dietary Fibre

Fruits, vegetables, whole grains, and legumes reduce bile cholesterol and speed intestinal transit. Replace refined carbohydrates and white rice with whole grains where possible.

🫙

Moderate Ghee & Saturated Fat

Ghee is not the enemy in small quantities, but daily high-volume use raises cholesterol in bile. Cook with less ghee; use plant-based oils for everyday cooking.

💧

Stay Well Hydrated

Adequate fluid intake keeps bile dilute and less likely to crystallise. Aim for 8–10 glasses of water daily — more in summer or with physical work.

🏃

Maintain a Healthy Weight

Lose weight gradually — no more than 0.5–1 kg per week. Rapid weight loss sharply increases stone risk. Regular physical activity improves gallbladder motility directly.

🩸

Control Your Diabetes

Good glycaemic control reduces the gallbladder stasis associated with diabetes. If you are diabetic, a baseline abdominal ultrasound is worth discussing with your doctor.

Already have gallstones? These measures will not dissolve existing stones, but they reduce the risk of new ones forming after surgery and support your overall digestive health.

Questions About Your Gallbladder?

Get in Touch
Medical Disclaimer (NMC Compliant): The information on this page is provided for general educational purposes only and does not constitute medical advice, diagnosis, or treatment recommendation. Every patient's clinical situation is unique. Surgical decisions are made after thorough clinical assessment, investigation review, and discussion between patient and surgeon. Always consult a qualified medical professional before making any health decisions.
Scroll to Top