Dr. Rajeev Kapoor – Header
📍 Fortis Hospital, Sector 62, Mohali, Punjab – 160062 📞 +91 98765 07444 ✉ rkap01@gmail.com

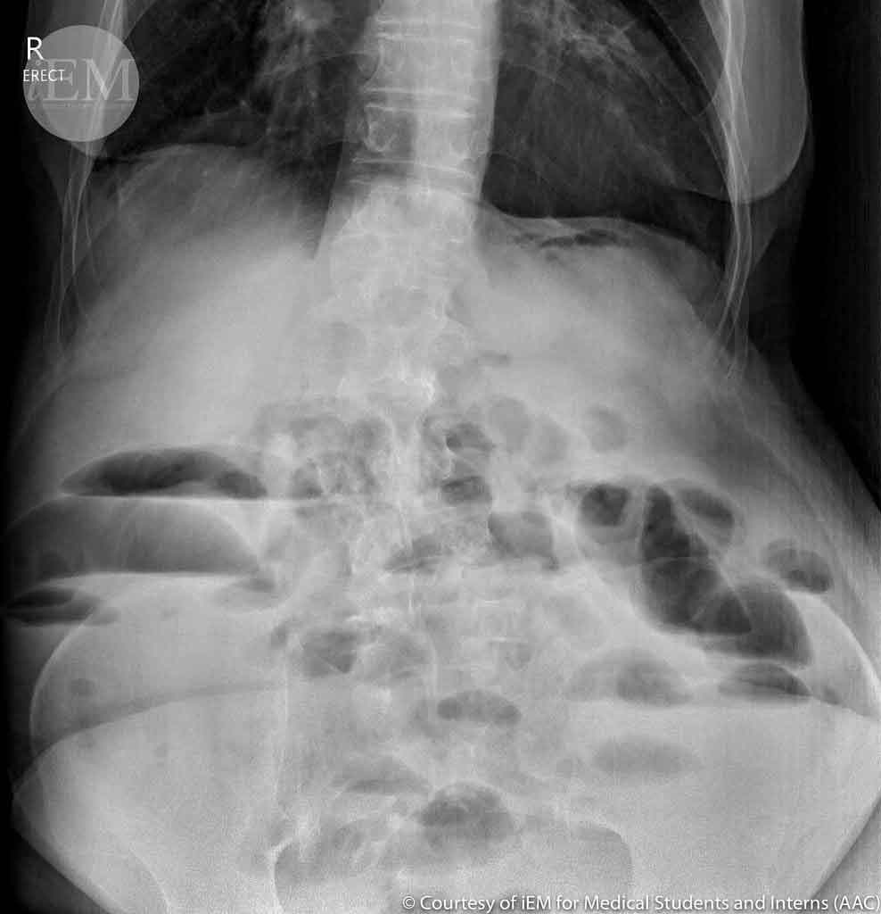
Intestinal Obstruction Treatment in Chandigarh, Punjab, India — Dr. Rajeev Kapoor

What Is Intestinal Obstruction?

Intestinal obstruction occurs when the normal flow of digestive contents is partially or completely blocked in the small or large intestine. This is a serious condition that requires prompt medical evaluation and timely intervention to prevent complications like bowel ischemia or perforation.
Recognizing the Symptoms

Common Causes & Risk Factors

Potential causes include:
  • Previous abdominal surgeries causing adhesions
  • Hernias, strictures, or inflammatory bowel conditions
  • Tumors or impacted masses within the bowel
  • Volvulus (twisting of the intestine) or intussusception
  • Risk increases with factors like prior surgeries, age, and chronic intestinal disease.

Treatment Approaches

Emergency & Non-Surgical Management

When the bowel is not strangulated:
  • Nasogastric decompression to relieve pressure
  • Intravenous fluids and correction of fluid/electrolyte imbalances
  • Close monitoring for signs of resolution or progression
  • Sometimes, obstruction resolves with careful conservative management under vigilant supervision.

Surgical Options

Surgery becomes necessary if:
  • Conservative treatment fails
  • There is evidence of strangulation, perforation, or tissue death
    Surgical options depend on the cause and location:
  • Laparoscopic surgery for adhesions or manageable blockages—less invasive, faster recovery
    Open surgery for complex cases like large tumors, bowel necrosis, or chronic obstruction
  • The goal is to restore bowel continuity safely and prevent recurrence.

Recovery & Post-Treatment Care

  • Hospital stay varies depending on treatment type and patient condition
  • Recovery focus includes restoring bowel function, managing pain, and ensuring nutritional support
  • Gradual advancement from liquids to regular diet, with clear instructions
  • Follow-up care ensures healing and addresses any long-term management needs 
abscesses
Piles Doctor in Chandigarh

Take the Step Towards Relief

If you’re experiencing severe abdominal symptoms like painful bloating, vomiting, or inability to pass stool, time matters. Dr. Rajeev Kapoor, skilled in intestinal obstruction treatment in Chandigarh, Punjab, India, offers prompt, lifesaving care with commitment and expertise.

Why Choose Dr. Rajeev Kapoor?

  • Expert in intestinal obstruction treatment in Chandigarh, handling both emergency and elective cases
  • Skilled across minimally invasive and complex open surgery techniques
  • Prioritizes patient education, safety, and comfort throughout the care journey
  • Supported by advanced surgical infrastructure for precision and effective recovery
DR. Rajeev Kapoor
Piles Doctor in Chandigarh

Frequently Asked Questions (FAQs)

Can intestinal obstruction resolve without surgery?

Some cases—especially partial obstructions—respond to non-surgical management with close monitoring.

Is emergency surgery risky?

Modern surgical protocols ensure safety. Timely surgery helps avoid serious complications.

Will I need a stoma after surgery?

Not always. Most obstructions can be treated while restoring bowel continuity.

How long is recovery after obstruction?

Recovery varies by treatment: laparoscopic cases may heal faster, while complex open surgery takes longer.

Can obstructions recur?

Yes—underlying causes like adhesions can lead to recurrence. Preventive measures and follow-up help reduce risk.
Scroll to Top